Dr. Julia Fehlings
Reitzensteinstr. 5
45657 Recklinghausen
Telefon: 02361 - 4855080
E-Mail: info@kfo-vest.de
Schreiben Sie uns!
08:30 - 12:30 & 13:30 - 17:30 Uhr
08:30 - 12:30 & 13:30 - 17:30 Uhr
08:30 - 12:30 & 13:30 - 16:30 Uhr
08:30 - 12:30 & 13:30 - 17:30 Uhr
08:30 - 12:00 Uhr
Durch das Aktivieren der Karte erklären Sie sich damit einverstanden, dass Cookies gesetzt und Daten an Google übermittelt werden.
Weitere Informationen erhalten Sie in unserer Datenschutzerklärung.
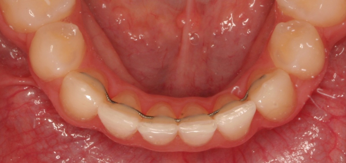
Retention
Der Einsatz von Retentionsgeräten ist nach jeder kieferorthopädischen Behandlung erforderlich, da unsere Zähne die Eigenschaft haben, sich lebenslang zu bewegen und tendenziell wieder in ihre ursprüngliche Stellung zu wandern. Die neu korrigierte Zahnstellung muss somit dauerhaft stabilisiert werden, um das Behandlungsziel nicht zu gefährden.
Die Phase nach der aktiven Behandlung nennt man Retentionszeit, die Stabilisierungsgeräte heißen „Retainer“. Der festsitzende Retainer ist ein kleiner dünner Draht, welcher an der innenliegenden Seite der Zähne (lingual) befestigt wird. Dieser Kleberetainer ist somit nicht sichtbar und kann mehrere Jahre bzw. lebenslang getragen werden. Er ist kaum spürbar und hat keine Nachteile bei der täglichen Mundhygiene.
Termin anfragen





